Patiënt A: Gebitsslijtage

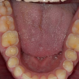
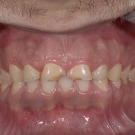
Deze jongeman werd verwezen met ernstige gebitsslijtage. Het gevolg was een overgevoelig gebit en esthetische problematiek (schaamte). De slijtage was veroorzaakt door overmatig gebruik van frisdranken en tandenknarsen.

 

* Begin.

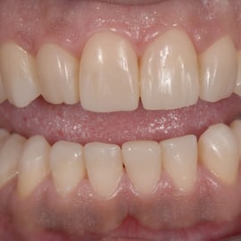
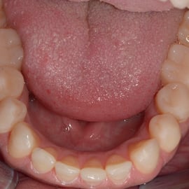
* Resultaat.

De behandeling bestond uit preventieadviezen na voedingsanamnese. Alle tanden en kiezen werden voorzien van composietrestauraties.  Een gebitsbeschermer (splint) moet tijdens slaapuren worden gedragen om overbelasting van de restauraties te minimaliseren.

Bereikbaarheid:

Onze tandartspraktijk ligt in de wijk Hogeland met voldoende (gratis) parkeergelegenheden. Betaald parkeren is ook mogelijk aan de Hogelandsingel (voorzijde praktijk). Wij zijn goed bereikbaar per auto alsook met het openbaar vervoer.