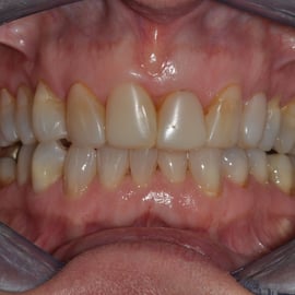
Patiënt A: Bleken, composiet en porselein.

Deze dame schaamt zich voor haar gebit. De grote voortand (11) heeft een composiet facing die niet mooi is. Daarnaast brokkelt deze vaak af. De kleine voortand ernaast (12) heeft ook een composiet vulling die opvalt door kleurverschil en geen juiste vorm.

 

 

Behandeling bestond uit bleken, waarna porseleinen facing op de grote voortand en nieuwe composietrestauratie op tand 12. Dame kan nu met vol vertrouwen lachen.

 

Prosthodontics: John Zaia

 

Tandtechniek: Stephan van der Made.


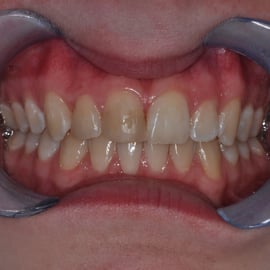
Patiënt B: Porseleinen facings.

Deze dame stoorde zich aan haar gebit. Ze mist de kleine voortanden in de bovenkaak. Daarnaast is er ruimtegebrek in de boog, waardoor de twee grote voortanden gedraaid staan. Tien jaar geleden werd het gebit nog met composiet verfraaid. Inmiddels is er verkleuring en slijtage van de restauratie materialen opgetreden.

Eerste keus voor dit geval is orthodontie. Deze dame wilde geen beugel waardoor, na lokale tandvleescorrecties, acht porseleinen facings werden geplaatst. Vooraf wordt er door de tandtechnicus aan de hand van individueel opwas op gipsmodellen een proefconcept gemaakt. Daarbij worden de hoektanden omgevormd tot kleine voortanden en de eerste kleine kiezen tot hoektanden. De eerste weken na beslijping van de pijlers kunnen tijdelijke kunsstof facings worden gedragen. Als de vorm na eventuele aanpassing wordt geaccepteerd, kan de informatie worden gekopieerd in de definitieve keramische facings. Porseleinen veneers kunnen de natuurlijk glazuurmateriaal prima nabootsen en hebben uitstekende eigenschappen zoals glans, transparantie en gladde oppervlaktestructuur.

 

Prosthodontics: John Zaia

 

Tandtechniek: Stephan van der Made


Patiënt C: Porseleinen facings, bruggen en kronen op implantaten

Mevrouw heeft een aangeboren afwijking, oligodontie, waarbij meerdere tanden en kiezen niet zijn aangelegd. Er is beperking in haar functioneren en ze schaamt zich voor haar gebit.

                                 * Begin                                                                             * Resultaat                                                                              * Resultaat                                                   * Resultaat

Behandeling werd gerealiseerd door middel van orthodontie (beugel), kaakstandcorrectie, plaatsing van implantaten (Titanium tandwortels), gebitsrehabilitatie d.m.v. porseleinen kronen op implantaten, bruggen en facings. Voor de uitgebreide beschrijving zie categorie GEBITSREHABILITATIE. Mevrouw is erg blij en trots op haar gebit.

 

Prosthodontics: John Zaia

Orthodontie: Koos Reitsema

 

Kaakchirurgie en implantologie: Rutger Schepers


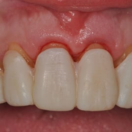
Patiënt D: Compofacings.

Onderstaande dame heeft verschillende restauraties bij haar voortanden gehad. Deze verschillen van elkaar in kleur en vorm. De hoge lachlijn werkt nadelig bij haar, omdat ze veel tandmateriaal laat zien.

Er was op dit moment geen financiële mogelijkheid voor porseleinen restauraties. In dit geval kon alsnog met composiet een goed resultaat worden bereikt. Deze dame kan weer vooruit.

 

Prosthodontics: John Zaia


Patiënt E: Microabraisie en bleken met composiet.

Deze dame heeft na verwijdering van haar beugel witte en gele vlekken over haar tanden. Ze schaamt zich voor haar gebit.

Door middel van zogenaamde macro- en microabrasie techniek wordt de oppervlakkige laag verwijderd. Hierna wordt met bleken de juiste kleur geplaatst. Sommige plekjes zijn onregelmatig, waardoor deze opgevuld worden met de juiste kleur composiet materiaal.

 

 

Prosthodontics: John Zaia


Bereikbaarheid:

Onze tandartspraktijk ligt in de wijk Hogeland met voldoende (gratis) parkeergelegenheden. Betaald parkeren is ook mogelijk aan de Hogelandsingel (voorzijde praktijk). Wij zijn goed bereikbaar per auto alsook met het openbaar vervoer.