Bleken.

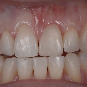
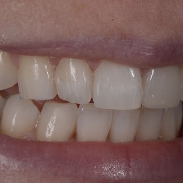
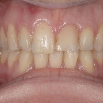
Onderstaande patiënte wilde graag haar gebit verfraaien i.v.m. onregelmatige stand en oude afgebrokkelde restauraties.

Behandeling bestond uit orthodontie (beugel), waarna bleken en vormherstel met composiet.

 

Prosthodontics: John Zaia

Orthodontie: Orthocenter Groningen


Bereikbaarheid:

Onze tandartspraktijk ligt in de wijk Hogeland met voldoende (gratis) parkeergelegenheden. Betaald parkeren is ook mogelijk aan de Hogelandsingel (voorzijde praktijk). Wij zijn goed bereikbaar per auto alsook met het openbaar vervoer.