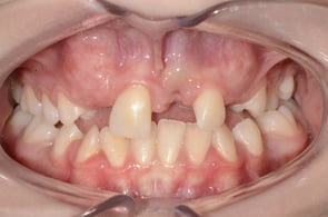
Autotransplantatie: Patiënt A.

Onderstaande dame heeft de pech dat er twee volwassen kiesjes niet zijn aangelegd in de onderkaak. Dus de melkkiesjes wisselen niet en deze hebben slechte prognose.

* Melkkiezen zonder opvolgers rechtsonder en linksonder.

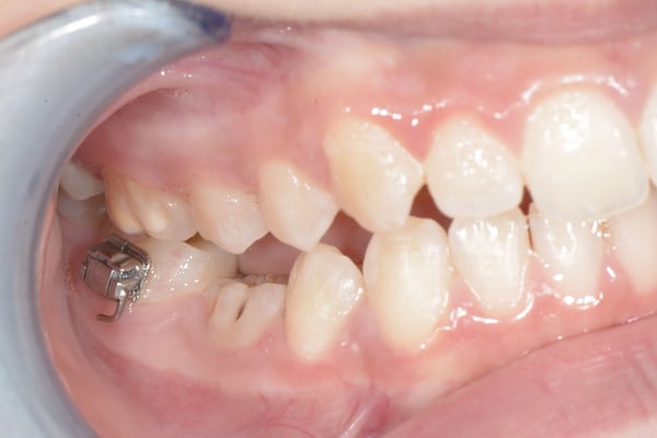
* Autotransplantatie kiesje boven naar onder.

* Orthodontie één jaar na autotransplantatie.

Op jonge leeftijd is oplossing met implantaten niet voor de hand liggend in verband met te verwachten gelaatsgroei. Er was ruimtetekort voor de tanden en kiezen in de bovenkaak. De oplossing bestond uit het verwijderen van twee melkkiezen en het plaatsen van twee kiesjes vanuit de bovenkaak naar de onderkaak. Met orthodontie/beugel worden de bogen mooi gesloten. Autotransplantatie is een prima oplossing waar inmiddels veel wetenschappelijk onderzoek naar is gedaan. Sinds jaren wordt deze techniek door tandarts Zaia met succes toegepast.

 

 

Prosthodontics: John Zaia

 Orthodontie: Jeroen Verstraaten


Autotransplantatie: Patiënt B.

Op acht jarige leeftijd viel dit meisje op haar voortanden, waardoor meerdere tanden flinke schade hebben opgelopen. Na enkele jaren bleek dat er toch aanhoudende ontstekingsproblemen persisteerden, ondanks uitgevoerde wortelkanaalbehandelingen. De tanden waren helaas niet meer te redden en moesten worden verwijderd.

Autotransplantatie kies naar locatie voortand.

Omvormen kiesje tot voortand met composiet.

Orthodontie.

Op deze jonge leeftijd is oplossing met implantaten niet voor de hand liggend in verband met te verwachten gelaatsgroei. De oplossing was tweeledig. Enerzijds het verwijderen van een gezond kiesje vanuit de onderkaak naar positie van een voortand (autotransplantatie), en anderszijds het opschuiven van de overblijvende tanden en kiezen met orthodontie/beugel naar voren toe om de ruimtes te sluiten. Het kiesje en de opgeschoven tanden weren middels composiet (tandkleurige kunsstof laagjes) omgevormd tot volwaardige tanden. Dit meisje kan nog jaren vooruit. Implantaten in de toekomst zouden altijd nog overwogen kunnen worden wanneer nodig. Autotransplantatie is een prima oplossing waar inmiddels veel wetenschappelijk onderzoek naar is gedaan. Sinds jaren wordt deze techniek door tandarts Zaia met succes toegepast.

 

Voor een uitgebreide beschrijving van deze casus verwijzen we u graag naar het artikel van tandarts Zaia, gepubliceerd in het Tijdschrift Tandartspraktijk.

 

Prosthodontics: John Zaia

Endodontie: Erik Meisberger

 

Orthodontie: Jeroen Verstraaten

 

 


Bereikbaarheid:

Onze tandartspraktijk ligt in de wijk Hogeland met voldoende (gratis) parkeergelegenheden. Betaald parkeren is ook mogelijk aan de Hogelandsingel (voorzijde praktijk). Wij zijn goed bereikbaar per auto alsook met het openbaar vervoer.